一般歯科
General dentistry
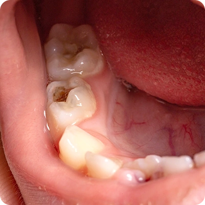
虫歯治療
むし歯治療の分かれ目は、「歯の神経を残せるかどうか」。しろいし中央歯科では、可能な限り患者様の歯の神経を残すよう努め、痛みの少ないスムーズな治療を心掛けています。むし歯の進行度合いは、C0〜C4の5段階に分かれます。
比較的治療が簡単な初期(C0)から、抜歯が必要になるまで進行した状態(C4)まで、状況は患者様によってさまざま。歯の神経を取るまで進行してしまったむし歯の治療は、治療回数も数回に渡り、神経を取った歯はもろくなってしまいます。むし歯を早期発見できるよう、痛みが出てから来院するのではなく定期的なチェックを心がけましょう。
歯周病治療
歯周病は、歯の周りにある細菌が原因で歯茎が炎症を起こす疾患です。進行すると歯を支える歯槽骨が破壊され、歯がぐらついたり、歯が抜け落ちてしまう可能性があります。また、歯周病は早産や糖尿病のリスクにも繋がります。しろいし中央歯科では、歯周病がどの程度進行しているかを確認するため、レントゲンを撮って骨の状態を見たり、歯周ポケットの深さを測ったりして歯周病の状態を検査しています。歯周病には様々な治療法があります。日々の歯磨きの指導や歯石除去、歯周ポケットの掃除、生活習慣・食生活の改善、薬(抗生物質)による歯肉内科治療と、一時的に歯ぐきを開いて奥の汚れを取る治療(フラップ手術)や、歯周病が進行した歯茎の部分を切除し、歯茎の形を整えるといった歯周外科治療があります。患者様の歯周病の状況に合わせた、最適な治療方法を提案します。
予防歯科
Preventive dentistry
予防歯科
日本人の80%以上の人が歯周病になっているのはご存知ですか?毎日きちんと歯磨きをしているから大丈夫。そんな風にお考えの方は多いのではないでしょうか。ですが、本当の意味でむし歯・歯周病を予防するには、歯の定期的なケアが不可欠です。しろいし中央歯科では、予防歯科への取り組みとしてデンタルフィットネスを導入。詳しくは、デンタルフィットネス詳細ページをご覧ください。
小児歯科
Pediatric dentistry
小児歯科
生まれたばかりの赤ちゃんのお口の中には、むし歯菌は存在しません。では、なぜ子どもはむし歯になるのでしょうか?むし歯は感染する病気です。ご家族が使った箸やスプーンを通して、むし歯菌が赤ちゃんにうつることが原因とされています。感染の時期をできるだけ遅らせることで、将来的にむし歯のリスクを下げられるという研究結果もあります。
当院では、むし歯の原因を親御さんと一緒に理解し、お子さまに合わせた予防ケアをご提案しています。定期的な検診とフッ素塗布、歯の溝をコーティングするシーラント処置などで、むし歯を未然に防ぎます。また、もしむし歯になってしまった場合には、痛みや恐怖をできるだけ与えず、優しく丁寧に治療を行います。初期の小さなむし歯であれば、削らずにすむケースもあります。
お子さまが歯科医院に慣れることからスタートし、笑顔で通える環境づくりを大切にしています。
やわらかい入れ歯
Soft dentures
やわらかい入れ歯
部分的に歯を失った場合は「部分入れ歯」、すべての歯を失った場合は「総入れ歯」で補うのが一般的です。入れ歯には、健康保険が適用されるものと、より快適さや見た目にこだわった保険適用外(自費)のものがあります。
しろいし中央歯科では、患者様のお口の状態やライフスタイル、ご予算に合わせて、最適な入れ歯をご提案します。見た目が自然で、留め具が透明または金属を使わないノンクラスプ義歯は、装着感がやわらかく、金属アレルギーの心配がない点も特長です。入れ歯に違和感がある方、人前で笑うのが気になる方にもおすすめです。まずは現在のお口の状態をしっかり確認し、ご希望やお悩みを伺いながら、患者様一人ひとりに合った義歯を一緒に考えてまいります。
審美歯科
Aesthetic dentistry
審美歯科
審美歯科とは、口元の見た目を美しく整えることを重視した歯科治療です。単に見た目を整えるだけでなく、しっかり噛めるようにするなど、機能の改善も大切な目的のひとつです。しろいし中央歯科では、見た目と機能の両立を目指し、患者様一人ひとりに合わせた治療計画をご提案しています。たとえばセラミック治療では、天然歯のような自然な仕上がりが得られ、金属アレルギーの心配もありません。さらに、時間の経過によって歯ぐきが黒ずむリスクも避けられます。必要に応じて、矯正治療を先に行い、その後にセラミックやインプラント治療を組み合わせるケースもあります。
ホワイトニング
Teeth whitening
ホワイトニング
しろいし中央歯科では、ご自宅で手軽に取り組めるホームホワイトニングをご提供しています。専用のマウスピースと薬剤を使い、毎日少しずつ歯を白くしていく方法で、自然で透明感のある白さを目指す方におすすめです。
通院の手間が少なく、ご自身のペースで進められるのが大きな魅力。現在の歯の色やご希望に合わせて、効果的かつ安心なホワイトニングプランをご提案します。
マウスピース矯正
Clear aligners
マウスピース矯正
現代では、やわらかい食生活やあごの発達不足により、歯の生えるスペースが足りず、歯並びが乱れるお子さまが増えています。
こうした状態を放置すると、むし歯や歯周病だけでなく、全身の健康や発育にも影響する可能性があります。当院では、目立ちにくく、取り外し可能な透明マウスピースを使った矯正治療をご提案しています。見た目に配慮しながら、無理なく歯並びを整えていく治療方法です。治療終了後のシミュレーション模型を作成できますので、お気軽にご相談ください。
